유방 미세석회화, 놓치면 안 되는 유방암 신호? 진짜 이야기

유방 검진을 받은 후 ‘미세석회화가 발견되었습니다’라는 말을 들어본 적 있으신가요? 많은 여성들이 이 말을 듣고 당황하거나 불안해합니다. 저 역시 지인의 경험을 통해 이 단어를 처음 접했을 때 막연한 두려움이 앞섰던 기억이 납니다. 오늘은 최근 검색량이 급증하고 있는 ‘유방 미세석회화’에 대해 정확한 정보를 알려드리려고 합니다.

유방 미세석회화는 무엇이며, 정말 유방암과 연관이 있는 것일까요? 또 발견됐을 때 어떻게 대처해야 할까요? 의학적 사실과 실제 사례를 바탕으로 여러분의 궁금증을 풀어드리겠습니다.

유방 미세석회화란?

유방 석회화 X-ray 사진이 모니터에 표시되어 있으며, 오른쪽 상단의 작은 원 안에는 미세한 흰 점들이 확대되어 보인다. 하단에는 유방 석회화가 양성과 유방암 관련 악성으로 나뉠 수 있음을 설명하는 글이 있다.
유방 미세석회화가 보이는 유방촬영술(맘모그램) 영상

지난달, 40대 중반의 제 친구 수진(가명)이 정기 검진에서 ‘유방 미세석회화’가 발견되었다는 소식을 전해왔습니다. 평소 아무런 증상이 없었던 그녀는 이 결과에 크게 당황했죠. 그녀의 이야기를 시작으로, 유방 미세석회화가 무엇인지 자세히 알아보겠습니다.

유방 미세석회화의 의미와 원인

유방 미세석회화란 유방 조직 내에 칼슘이 침착되어 형성된 아주 작은 석회질 덩어리를 말합니다. 이 석회화는 보통 크기가 0.5mm 미만으로 매우 작아 맨눈으로는 볼 수 없으며, 유방촬영술(맘모그램)에서 작은 흰 점들로 나타납니다.

이러한 석회화가 생기는 원인은 다양합니다. 대부분은 자연스러운 노화 과정, 유방 내 염증, 유방 수술 후 흉터, 유방 낭종, 유선 확장증 등과 같은 양성 상태에서 발생합니다. 하지만 일부는 유방암의 초기 신호일 수도 있어 주의가 필요합니다.

증상 없는 조용한 신호

수진이처럼 대부분의 여성들은 유방 미세석회화가 있어도 아무런 증상을 느끼지 못합니다. 만져지는 혹이나 통증, 분비물 같은 외부적 징후가 없기 때문에 정기 검진에서 우연히 발견되는 경우가 대부분입니다.

바로 이 점이 정기적인 유방 검진이 중요한 이유입니다. 증상이 없더라도 정기적인 검진을 통해 미세석회화와 같은 조용한 신호를 조기에 발견할 수 있기 때문입니다.

유방 미세석회화와 유방암의 연관성

TV 건강 정보 프로그램의 한 장면으로, 의사가 유방 미세석회화와 유방암의 연관성에 대해 설명하고 있다. 화면에는 '유방 미세석회화와 유방암의 연관성은?', '유방암 중 유관상피내암의 초기 신호일 수 있다!'라는 자막이 표시되어 있다.
유방 미세석회화와 유방암의 연관성을 설명하는 건강 프로그램

수진이 가장 두려워했던 것은 바로 이 부분이었습니다. “이게 유방암이라는 뜻인가요?” 많은 여성들이 미세석회화 발견 시 이런 질문을 하게 됩니다. 결론부터 말씀드리자면, 모든 미세석회화가 유방암을 의미하는 것은 아닙니다.

20%의 경계, 암과 관련된 미세석회화

의학 데이터에 따르면, 유방 미세석회화 중 약 80%는 양성이며, 약 20%만이 유방암과 관련이 있습니다. 특히 유방암 중에서도 ‘유관상피내암(DCIS)’이라는 초기 단계의 유방암에서 미세석회화가 자주 발견됩니다.

유방암 전문의들은 미세석회화의 모양, 크기, 분포 패턴을 분석하여 양성과 악성을 구분합니다. 일반적으로 둥글고 큰 석회화는 양성일 가능성이 높고, 불규칙하고 가늘며 다양한 모양의 석회화는 악성 가능성이 높다고 알려져 있습니다.

밀집 분포와 악성 위험 신호

미세석회화의 분포 패턴도 중요한 판단 기준입니다. 석회화가 한 곳에 모여 있거나(군집성), 선형으로 배열되어 있거나, 분절성으로 나타날 때 악성 가능성이 더 높아집니다. 반면, 넓은 영역에 고르게 분포된 석회화는 대개 양성입니다.

수진의 경우, 오른쪽 유방에 군집성으로 모여 있는 미세석회화가 발견되어 추가 검사가 필요하다는 소견을 받았습니다. 이처럼 의심스러운 패턴이 보일 경우, 의사는 추가 검사를 권장하게 됩니다.

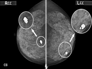
유방촬영술, 어떻게 진행되나?

유방의 좌우 측면을 보여주는 유방촬영술(맘모그램) 이미지로, 양쪽에 둥글게 표시된 부분과 화살표로 강조된 석회화 병변이 보인다.
유방촬영술에서 발견된 석회화 병변

미세석회화는 대부분 유방촬영술(맘모그램)을 통해 발견됩니다. 수진이 겪었던 진단 과정을 따라가며, 유방 미세석회화 발견과 진단 과정에 대해 알아보겠습니다.

유방 미세석회화 진단 과정

유방 미세석회화 진단은 일반적으로 다음과 같은 단계로 진행됩니다:

1. 유방촬영술(맘모그램): 미세석회화를 발견하는 가장 기본적인 검사입니다. X-ray를 사용하여 유방 조직의 이미지를 촬영하며, 미세석회화는 흰 점들로 나타납니다.

2. 확대 유방촬영술: 의심스러운 미세석회화가 발견되면, 해당 부위를 확대하여 더 자세히 관찰합니다.

3. 유방 초음파: 미세석회화와 함께 종괴가 있는지 확인하기 위해 초음파 검사를 병행하기도 합니다. 하지만 초음파만으로는 미세석회화를 확인하기 어려울 수 있습니다.

4. 조직검사: 미세석회화의 패턴이 의심스러울 경우, 조직검사를 통해 세포를 채취하여 악성 여부를 확인합니다.

정밀 촬영과 조직검사의 필요성

수진의 경우, 첫 유방촬영술에서 발견된 미세석회화의 패턴이 의심스러워 확대 유방촬영술과 조직검사를 권유받았습니다. 처음에는 두려움이 컸지만, 의사의 설명을 듣고 조직검사를 받기로 결정했습니다.

조직검사는 일반적으로 다음 두 가지 방법으로 진행됩니다:

입체정위 조직검사(Stereotactic biopsy): X-ray 유도 하에 정확한 위치를 파악하여 미세석회화 부위의 조직을 채취합니다.

진공보조 조직검사(Vacuum-assisted biopsy): 더 많은 조직을 채취할 수 있는 방법으로, 작은 절개를 통해 진공 장치로 조직을 흡입합니다.

조직검사는 불편함이 있을 수 있지만, 정확한 진단을 위해 필수적인 과정입니다. 미세석회화가 의심스러운 패턴을 보일 때 조직검사를 미루면 초기 유방암 진단이 지연될 수 있으므로, 의사의 권고가 있다면 적극적으로 검사를 받는 것이 좋습니다.

유방암 초기증상과 예방, 내가 놓치지 말아야 할 것들

'양성석회화란?'이라는 제목과 함께 양성 석회화에 대한 설명이 적혀 있고, 아래에는 가슴 부위를 감싸며 아파하는 표정의 여성 일러스트가 있는 이미지.
유방 건강에 관심을 가져야 하는 이유

다행히 수진의 조직검사 결과는 양성으로 나왔습니다. 하지만 이 경험을 통해 그녀는 유방 건강의 중요성을 깨닫고 정기 검진의 필요성을 주변에 알리기 시작했습니다. 유방암의 초기 증상과 예방법에 대해 알아보겠습니다.

유방암 초기증상, 꼭 알아야 할 신호

유방 미세석회화와 달리, 유방암이 진행되면 다음과 같은 증상이 나타날 수 있습니다:

– 유방이나 겨드랑이에 만져지는 덩어리

– 유두에서 분비물이 나오거나 유두가 함몰됨

– 유방 피부의 변화(오렌지 껍질처럼 울퉁불퉁해지거나 붉어짐)

– 유방 크기나 모양의 변화

– 유방이나 유두 주변의 통증

이러한 증상이 나타난다면 즉시 의사와 상담하는 것이 중요합니다. 하지만 초기 유방암은 증상이 없는 경우도 많아 정기 검진의 중요성이 더욱 강조됩니다.

정기검진과 건강한 습관의 힘

유방암 예방과 조기 발견을 위한 가장 효과적인 방법은 정기 검진입니다. 일반적으로 다음과 같은 검진 주기가 권장됩니다:

– 20~30대: 매월 유방 자가검진, 의사와 상담 후 필요시 검진

– 40대 이상: 매월 유방 자가검진, 1~2년마다 유방촬영술 검진

– 유방암 가족력이 있는 경우: 의사와 상담하여 더 일찍, 더 자주 검진

또한 건강한 생활습관도 유방암 예방에 도움이 됩니다:

– 적정 체중 유지

– 규칙적인 운동

– 균형 잡힌 식단(과일, 채소, 통곡물 위주)

– 음주 제한

– 금연

수진의 이야기처럼, 유방 미세석회화 발견이 반드시 나쁜 소식만은 아닙니다. 오히려 정기 검진의 중요성을 일깨우는 계기가 될 수 있습니다. 미세석회화가 발견되더라도 당황하지 말고, 의사와 상담하여 적절한 검사와 조치를 받는 것이 중요합니다.

유방 건강은 우리 모두의 관심사입니다. 정기적인 검진과 건강한 생활습관으로 소중한 건강을 지켜나가시길 바랍니다.

답글 남기기

이메일 주소는 공개되지 않습니다. 필수 필드는 *로 표시됩니다